奋战六小时“希望再植” ,离断之足“再续前缘”
{{sourceReset(detailData.source)}}{{dynamicData.sub_info.subject_name}} 紫牛新闻
{{wholeTimeFilter(detailData.happen_time)}} {{numFilter(detailData.review_count)}}次阅读
{{numFilter(detailData.review_count)}}次阅读
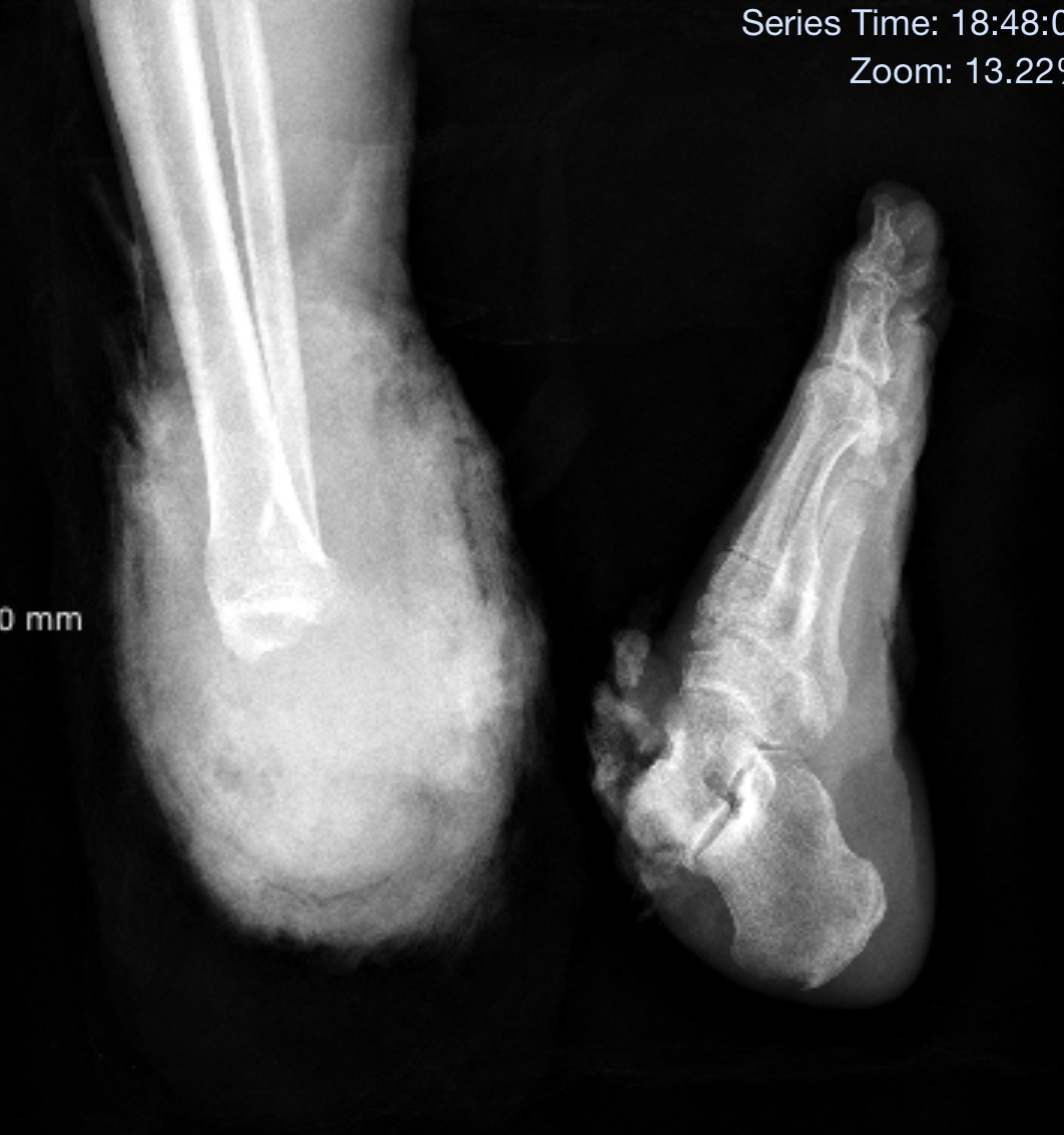
日常生产作业,务必做足防护措施,小心谨慎,以免发生意外。近日,常州金坛一名工人张先生在工作时发生意外,右足在脚踝部位完全离断,骨骼、肌肉、神经、血管断裂外露,断端大量出血,被紧急送到了南医大三附院(常州二院)阳湖院区急诊。
![]()
危急关头 多学科联合迅速展开抢救
“当时情况非常危急,我们急诊、创伤中心503病区手足外科医护团队立即开通了绿色通道,多学科联合迅速展开抢救,并做好患者及家属的安抚工作。”南医大三附院(常州二院)手外科副主任周福临回忆道。
经过大量输血等积极抢救后,患者生命体征相对平稳,手术室里的再植专家们在无影灯下、显微镜前已做好了“鏖战”的准备。术中医生们分别对患者断足的近端伤口和远端离断部分进行处理:清创、去掉污染组织,修整骨折断端,标记重要血管、肌腱位置,克氏针外架固定……一切都熟练紧凑、有条不紊。
六个小时 每一细小操作都如履薄冰
整台手术进入了最为关键、最为精密的环节——吻合血管、神经、肌腱。
数个小时里的每一个细小操作,都关乎患者肢体最后是否能“存活”,极大地考验着医生的技术与耐力。“当再植完成,松开止血带,看到患者曾经苍白、干瘪的足趾再次变得红润、饱满的那一刻,我们每一位医生的心中都充满了喜悦!断足保住了!”周福临感叹道。
经过长达6小时的连续奋战,手足外科团队最终将张先生从“鬼门关”拉了回来,并成功保住了离足,避免了截肢致残的风险。目前,经过团队的精心护理,张先生的离断之足已“再续前缘”,恢复顺利。
创造奇迹 来源于不断挑战难题的决心
周福临表示,此次断足再植手术的顺利完成,得益于高效的急诊救治绿色通道和精湛的四肢显微外科技术。
显微再植手术通常都要在显微镜下进行血管吻合,并保证吻合后血管通畅,一般均需持续数小时,这需要医生有高超的技术、超强的耐力和过人的体力。时间紧急而漫长,医生的付出可想而知。
断肢再植的术后护理同样重要。患者需要经历血管危象、疼痛、感染等多重考验,及时发现、准确判断、果断处理,这些都是专业护理人员的必备技能,只有这样才能保证患者术后在7-10天建立起新的血液循环,成功再植。
周福临提醒:大家无法预测生活中的意外,但是可以最大限度地减少意外发生的可能性和造成的损害。一旦不幸发生肢(指)体离断,应及时使用止血带及局部加压法止血,止血带每小时松放一次,断肢(指)应存放于4℃左右干燥环境中,可用清洁布料包裹后,再用塑料布包裹,天气炎热时周围可放置冰块。最重要的还是要第一时间到医院就诊,争取最短时间保全肢(指)体,挽救生命。
周茜 薛亚萍 张斌
校对 徐珩
编辑 : 朱亚萍
更多内容请打开紫牛新闻, 或点击链接

